როდის ხდება საჭირო არხების მკურნალობა

კარიესის “ლოგიკური გაგრძელება” პულპიტი ანუ კბილის ნერვის ანთებაა. სწორედ ის, რომელიც არხების მკურნალობას ანუ ენდოდონტიას საჭიროებს. სამწუხაროდ, ეს შეიძლება საჭირო გახდეს კარიესის დროსაც, როდესაც “ნერვი” ჯერ კიდევ არ არის “ჩათრეული”, თუკი კარიესი იმდენად ღრმაა, რომ მისი დამუშავება პულპის შეხების გარეშე შეუძლებელია. Continue reading “როდის ხდება საჭირო არხების მკურნალობა”

კბილების გათეთრება — რა უნდა ვიცოდეთ Zoom-ის შესახებ

  1. რამდენ ხანს ძელდება გათეთრების პროცედურა სტომატოლოგთან?
    Zoom-ით კბილების გათეთრება ტექნიკურად მარტივი პროცედურაა და 45-60 წუთი გრძელდება. მაგრამ მანამდე სტომატოლოგი ატარებს გაწმენდას და პოლირებას, ნადებისა და ლაქების მოსაშორებლად. მხოლოდ ამის შემდეგ ხდება გამათეთრებელი გელის აპლიკაცია კბილებზე და დაშუქება სპეციალური ლამპით, რაც 3-4 ჯერ მეორდება იმის მიხედვით, თუ რამდენი ტონით გვსურს გათეთრება. თითოეული აპლიკაცია 15 წუთი გრძელდება. Continue reading “კბილების გათეთრება — რა უნდა ვიცოდეთ Zoom-ის შესახებ”

ფოლადის გვირგვინები ბავშვთა სტომატოლოგიაში

მიუხედავად იმისა, რომ სარძევე კბილები დროებითია, აუცილებელია გავაცნობიეროთ მათი როლი საბოლოო თანკბილვის ჩამოყალიბებაში და ზოგადად პირის ღრუს ჯანმრთელობაში. ისინი საჭიროა ბავშვისთვის სწორი მეტყველებისა და ღეჭვისთვის, შესაბამისად კი საკვების სრულფასოვნად გადამუშავებისა და ათვისებისათვის მოზარდი ორგანიზმის მიერ. სწორედ ამიტომ, სარძევე კბილების მნიშვნელოვანი დაზიანების შემთხვევაში, შესაძლოა მეტალის გვირგვინები საუკეთესო გზა აღმოჩნდეს მათ შესანარჩუნებლად. Continue reading “ფოლადის გვირგვინები ბავშვთა სტომატოლოგიაში”

გამათეთრებელი ზოლები: პლიუსები და მინუსები

ყველაზე მოთხოვნად კოსმეტიკურ პროდუქტთა შორის კბილების გამათეთრებელი საშუალებები უდაოდ მოწინავეთა შორისაა. საუბარია სწორედ კოსმეტიკურ ანუ უსაფრთხო და მომხმარებლისთვის განკუთვნილ, და არა პროფესიონალურ საშუალებებზე. ასეთები ხელმისაწვდომია ყველასთვის ექიმის დანიშნულების გარეშე, თუმცა თუ კბილების სახლის პირობებში გათეთრებას გადაწყვეტთ, სტომატოლოგთან წინასწარი კონსულტაცია ნამდვილად ბრწყინვალე იდეაა.

ყოველწლიურად ბაზარზე კბილების გასათეთრებელი უამრავი პროდუქტი უწვეს კონკურენციას ერთმანეთს. გამათეთრებელი ზოლები ანუ ლენტები (tooth whitening strips)

Continue reading “გამათეთრებელი ზოლები: პლიუსები და მინუსები”

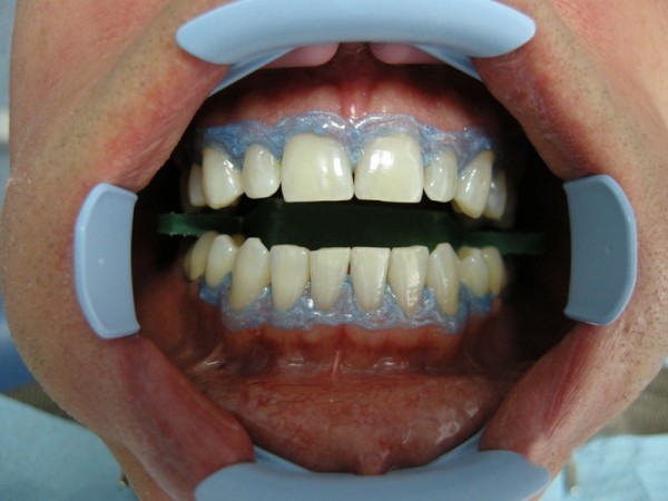
კბილების გათეთრების ეტაპები —- ZOOM 3

გთავაზობთ სტატიების ციკლს კბილების გათეთრებასთან დაკავშირებით, კერძოდ კი ZOOM-ის სისტემის გამოყენებით.

გათეთრების პროცედურის დაწყების წინ, ექიმი განსაზღვრავს მინანქრის ნატურალურ ფერს და შეაქვს მონაცემები სპეციალურ ბარათში. ფერი განისაზღვრება სპეციალური — Vita-ს შკალით. გათეთრების დამთავრების შემდეგ კი, ახალი მონაცემები კვლავ შეაქვთ ბარათში, თვალსაჩინო შედარებისთვის.
შემდეგ ეტაპზე ხდება ღრძილების და ლოყების იზოლაცია კბილებისგან, რათა გამოირიცხოს გელის მოხვედრა რბილ ქსოვილებზე.
გელი, რომელიც თავსდება კბილების ზედაპირზე, შეიცავს დაახლოებით 25% წყალბადის ზეჟანგს, რომელიც ზუმ-ლამპის ზემოქმედებით გადაიქცევა ატომურ ჟანგბადად. შედეგად ხდება ქიმიური რეაქცია: გელი აღწევს კბილის ქსოვილში, ზემოქმედებს პიგმენტზე და ხდის მას გამჭვირვალეს და წყალში ხსნადს.
რეკლამას თუ დავუჯერებთ, “ზუმით” შეიძლება მთელი 8 ტონით კბილის ფერის გაღიავება, მაგრამ ეს ცოტა გადაჭარბებულია.
როგორც წესი, კბილები თეთრდება 3-4 ტონით, იმისდამიხედვით როგორია საწყისი ფერი და ქსოვილის სტრუქტურა.
თუ პაციენტს აქვს რაიმე სახის ხელოვნური კონსტრუქცია (ვინირი, ბჟენი, გვირგვინი, ხიდი), მათი გათეთრება მხოლოდდამხოლოდ მათი შეცვლით შეიძლება.
ასეთ შემთხვევაში ჯერ ტარდება გათეთრების პროცედურა და მხოლოდ ამის შემდეგ ხდება ფერის შერჩევა ახალი ვინირისა თუ გვირგვინისთვის.
ზუმ-ლამპით გათეთრების პროცედურა საკმაოდ მარტივი, სწრაფი და პრაქტიკულად უმტკივნეულოა. ერთდერთი, რისთვისაც მზად უნდა იყოთ, ეს მინანქრის მგრძნობელობის მომატებაა. პირველი 2 დღის მანძილზე პაციენტს ენიშნება “თეთრი დიეტა” —- არ შეიძლება ფერადი საკვების და სასმელის გამოყენება: შავი ჩაი, ყავა, ჭარხალი, სოიოს პროდუქტები და სხვა. რეკომენდებულია თავის შეკავება სხვადასხვა მჟავის შემცველი პროდუქტებისგან: ციტრუსები, ახალი ხილი და ა.შ. რათა არ მოხდეს მინანქრის მგრძნობელობის პროვოცირება. ნუ იღელვებთ, ეს მხოლოდ დროებითია __ გარკვეული პერიოდის შემდეგ მომატებული მგრძნობელობა გაივლის.
რაც შეეხება გარემოებებს, რომლის დროსაც არ შეიძლება გათეთრების ჩატარება, არც ისე ბევრია:

  1. ორსულობა და ლაქტაციის პერიოდი (კბილების გატეთრებას ყოველთვის მოსაწრებთ, არ ღირს ამის გაკეთება ორგანიზმისთვის ისედაც რთულ პერიოდში).
  2. წყალბადის პეროქსიდზე ალერგია.
  3. მოზარდობის პერიოდი (გათეთრება არაა რეკომენდებული 18 წლამდე ასაკის მოზარდებში, იმდენად რამდენადაც ჯერ არაა დასრულებული ფესვის მწვერვალების ფორმირება).
  4. ბრეკეტების ტარებისას (ადვილი მისახვედრია, რომ მინანქრის ზედაპირი არათანაბრად გათეთრდება).
  5. მინანქრის ეროზია.

http://str15a.ru/otbelivanie-zubov/etapi-Zoom3.htm