
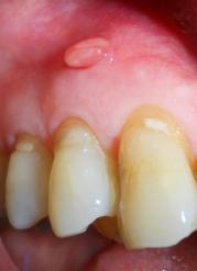
ხშირად კითხულობენ თუ რამდენად საშიშია ღრძილზე გაჩენილი ფისტულა. ეს შეკითხვა ბუნებრივია, რადგან ამ მდგომარეობას არ ახლავს რაიმე სიმპტომები, რაც მის “საშიშობაზე” შეიძლება მიუთითებდეს. არ ახლავს ტკივილი, შეშუპება, ანთებითი ცვლილებები ირგვლივ ქსოვილებში. ერთი სიტყვით, ისევე გამოიყურება, როგორც ღრძილზე გაჩენილი”მუწუკი”, რომელიც დაცლის შემდეგ თავისით ქრება. ასეთი უსიმპტომო მიმდინარეობის გამო ხშირად მას ყურადღებას არ აქცევენ და ასე გრძელდება წლების განმავლობაში. თუ გვეცოდინება რას წარმოადგენს ფისტულა, დავრწმუნდებით, რომ იგი საკმაოდ სერიოზული ნიშანია და ყურადღების მიქცევა აუცილებელია.
ფისტულა ღრძილზე წარმოადგენს ხვრელ-არხს, რომელიც აუცილებლად უკავშირდება ქსოვილის სიღრმეში არსებულ ჩირქოვან კერას. უმეტეს შემთხვევაში ეს ძვალში, კბილის ფესვის ირგვლივ განვითარებული აბსცესია (“პროცესი”, როგორც ხშირად უწოდებენ). ხვრელ-არხის გაჩენის შემთხვევაში ჩირქი პოულობს გზას და გარეთ გამოედინება. ასეთ შემთხვევაში ჩვეულებრივ, ადამიანი ყლაპავს ჩირქს, თანაც ეს ხდება ქრონულად, რაც თავისთავად ინფექციის ორგანიზმში გავრცელებას იწვევს. ჩირქოვანი კერის დაცლის შემდეგ ფისტულა იხურება, ზოგჯერ სრულიად უკვალოდ ქრება, შემდგომ გამწვავებამდე.

ხვრელ-არხი ყოველთვის არ ჩნდება. ეს დამოკიდებულია ორგანიზმში არსებულ მრავალ ფაქტორზე. ის შემთხვევები, როდესაც ფისტულა არ ჩნდება, ყველასათვის ნაცნობია: დაჩირქებული კბილი, შეტევითი ტკივილები, ტკივილგამაყუჩებლები, თბილი კომპრესები (რაც შეცდომაა). ამ სიმპტომებს იწვევს ძვლოვან კაფსულაში მოქცეული ჩირქის წნევა. ამ დროს საკმარისია არხის გახსნა და ჩირქის ამ გზით დრენირება, რომ ტკივილმა გაიაროს. ამიტომ ნუ დაკარგავთ დროს სახლის პირობებში მკურნალობის მეთოდების ძებნით და დაუყოვნებლივ მიმართეთ სტომატოლოგს!
ერთი შეხედვით ამ ყველაფრიდან გამომდინარე შეიძლება იფიქროთ, რომ ფისტულა “კარგია”, რადგან თავიდან გვაცილებს მწვავე სიმპტომებს. ხშირად პაციენტმა არც იცის, რომ კბილზე აქვს პრობლემა, ან კონკრეტულად რომელ კბილზე (თუ მიმდებარე კბილები საღია ან წარსულში ნამკურნალებია), და სიმპტომების არარსებობის გამო არ ჩქარობს სტომატოლოგთან მისვლას. ჩირქოვანი კერა ძვალში კი კვლავ რჩება და იზრდება, რადგან გრძელდება ძვლის დაშლა. როდესაც ბოლოსდაბოლოს პაციენტი მიმართვს ექიმს, შესაძლოა ვეღარ მოხდეს კბილის შენარჩუნება და ამოღების შემდეგ დიდი ზომის დეფექტი დარჩეს ძვალში. ეს კი შემდგომ პროთეზირებას ართულებს.
ფისტულის შემთხვევაში მიზეზი მიმდებარე კბილებს შორის უნდა ვეძებოთ. პირველ რიგში ესაა დაზიანებული ან ფერშეცვლილი კბილი. ასევე შეიძლება ნამკურნალები კბილიც, როცა რაიმე მიზეზით არხში დარჩენილია ინფექცია. ერთი შეხედვით საღი კბილიც კი შეიძლება იყოს მიზეზობრივი, ფესვზე არსებული ბზარის შემთხვევაში, რაც გადატანილი მწვავე და ქრონიკული ტრავმის შედეგია ხოლმე. დიაგნოსტიკა მარტივად ხდება ექიმის მიერ, ამიტომ ბევრ ნუ იფიქრებთ და ფისტულის შემჩნევის შემთხვევაში მიაშურეთ სტომატოლოგს.
