სპეციალისტები ბრუქსიზმად მოიხსენიებენ საღეჭი მუსკულატურის უნებლიე რიტმული შეკუმშვით გამოწვეულ კბილების კრაჭუნს. ბრუქსიზმი არც ისე იშვიათად გვხვედება. ზოგიერთი მონაცემებით პლანეტის მოსახლეობის 15% სხვადასხვა ძალით აკრაჭუნებს კბილებს ძილში. ბავშვებში ბრუქსიზმი უფრო ხშირად გვხვდება (თითქმის ყოველი მესამე), ვიდრე დიდებში, ხოლო ზოგიერთი მეცნიერის მტკიცებით ყოველი მეორე სკოლამდელი ასაკის ბავშვი მიდრეკილია ძილში კბილების კრაჭუნისკენ. ბრუქსიზმის შედეგად ხდება კბილის ქსოვილის ცვეთა პრაქტიკულად ღრძილის დონემდე, თუკი დროულად არ მოხდება ზომების მიღება.
თუმცა გავრცელებული აზრი იმის შესახებ, რომ კბილების კრაჭუნი ორგანიზმში პარაზიტების არსებობის უტყუარი ნიშანია, სინამდვილეში არანაირი მეცნიერი საფუძველი ამ აზრს არ გააჩნია. საერთოდ, მეცნიერებს უჭირთ ზუსტად დაასახელონ ბრუქსიზმის მიზეზები, მუშა-ჰიპოთეზად კი რამდენიმე განიხილება. მაგალითად, არსებობს მოსაზრება, რომ ძილში კბილების კრაჭუნი წარმოადგენს ძილის სიღრმის რეგულაციის დარღვევის ერთერთ გამოვლინებად. ეს კი ნიშნავს, რომ ბრუქსიზმი უნდა განვიხილოთ ხვრინვის, სომნამბულიზმის, ღამის კოშმარების და ღამის ენურეზის გვერდით.
სხვა სპეციალისტები თვლიან, რომ ძილში კბილების კრაჭუნი ხდება არასწორი თანკბილვის გამო. ბრუქსიზმი მანამდე გრძელდება, სანამ კბილები არ “ჩაჯდება” ერთმანეთში.
არსებობს მონაცემები ბრუქსიზმის მემკვიდრეობითი მიდრეკილების შესახებ. თუმცა სპეციალურმა კვლევებმა ვერ დაამტკიცა ბრუქსიზმით დაავადებულებში რაიმე ხასიათობრივი თავისებურებები. მიუხედავად ამისა, მეცნიერები თანხმდებიან, რომ ბრუქსიზმი ყველაზე ხშირად ახასიათებთ იმ ადამიანებს, რომლებიც ხშირად არიან სტრესის ქვეშ, განიცდიან შინაგან დაძაბულობას და შფოთვას, ნერვულ აღგზნებას ძილის წინ. ეს თანაბრად ეხება როგორც მოზრდილებს, ისე ბავშვებს. თუმცა ხანმოკლე (10 წამამდე) ბრუქსიზმის ეპიზოდები ძილის დროს გვხვდება პრაქტიკულად ჯანმრთელ, დადებით ემოციონალურ ტონუსში მყოფ ადამიანებშიც.
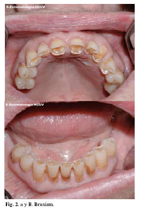
მიუხედავად იმისა რომ ბავშვებში ბრუქსიზმი გავრცელებულია, მათი უმრავლესობის ჯანმრთელობას პერიოდული ღამის კბილების კრაჭუნი არაფერს ვნებს და ხშირად უკვალოდ გაივლის. მაგრამ თუკი ბავშვი ღამის ბრუქსიზმის შემდეგ იღვიძებს თავის ტკივილით და სახის კუნთების დაჭიმულობის შეგრძნებით, მშობლებმა სათანადო ყურადღება უნდა მიაქციონ ბავშვის ჯანმრთელობას. ასეთ შემთხვევაში უნდა მიმართონ ფსიქონევროლოგს და სტომატოლოგს. პირველი მათ დაეხმარება ბრუქსიზმის მიზეზების გარკვევაში, მეორე კი ურჩევს როგორ დაიცვან კბილები დაზიანებისგან. თავისთავად ცხადია, თვეებისა და წლების განმავლობაში სისტემატიური კბილების კრაჭუნის შედეგად მათი დაუზიანებლად შენარჩუნება შეუძლებელია. გარდა კბილებისა, ხშირად ადგილი აქვს საფეთქელ-ქვედაყბის სახსრის დაზიანებასაც.
ბრუქსიზმი სამედიცინოს გარდა, კომუნიკაციურ პრობლემებსაც უქმინს მოზრდილ ადამიანებს. ცხადია, ბრუქსიზმიანი ადმაინის გვერდით ძილი სასტუმროს ნომერში ან მატარებლის კუპეში საკმაოდ დიდი დისკომფორტია.
თავად ბრუქსიზმიანისთვისაც ხშირად რთული ოჯახის შექმნა ან შენარჩუნება. ყველაფერი ეს ცხადყოფს, რომ ბრუქსიზმიან ადამიანს ესაჭიროება სამედიცინო დახმარება.
ახლა იმის შესახებ, თუ სამედიცინო დახმარების არა სახე არსებობს ასეთ შემთხვევაში. ეს არის, პირველ რიგში, ფსიქოლოგიური და ფსიქოთერაპიული დახმარება. მაგალითად საკმაოდ ეფექტურია სიფხისლეში ყვევის სწორი მდებარეობის თვითკონტროლის სწავლება __ კბილები ერთმანეთს უნდა ეხებოდეს მხოლოდ ღეჭვის დროს.
გარდა ამისა, ბრუქსიზმით დაავადებულებს სპეციალისტები ურჩევენ “დაღალონ” ძილის წინ საღეჭი კუნთები, მიირთვან მაგალითად, ვაშლი, სტაფილო. ასეთი მათოდით დატვირთული კუნთები ძილისას ნაკლებადაა მიდრეკილი თვითნებური შეკუმშვისკენ. კუნთების დაძაბულობას კარგად ხსნის თბილი კომპრესი, რომელიც საღეჭ კუნთებზე თავსდება, ისვედაისევ ძილის წინ.
იმის გათვალისწინებით, რომ ბრუქსიზმის ძირითადი მიზეზი ხშირად სტრესია, ეფექტურია ზოგადი ანტისტრესული მეთოდები: რაციონალური და რეგულარული კვება ნახშირწყლებისა და კოფეინის შეზღუდვით, სუფთა ჰაერზე სეირნი და თბილი აბაზანა ძილის წინ, სწორი სამუშაო გრაფიკი.
პარალელურად, სტომატოლოგი ეხმარება პაციენტს კბილების დაცვაში სპეციალური კაპების საშუალებით.
არ უნდა დაგვავიწყდეს, რომ ეს მეთოდები ინიშნება ინდივიდუალურად და ამიტომ თვითნებურად, ექიმის წინასწარი კონსულტაციის გარეშე მათი გამოყენება არ ღირს.

გამარჯობათ რამდენიმე ადამიანმა მითხრა ,რომ ღამე ვაკრაჭუნებ კბილებს .არ მყავს ჭიები და არც ნერვიული ვარ. საშინელებათა ჯანრის ფილმების ყურება მიყვარს და შეიძლება ამის ბრალი იყოს?
კი, თავისუფლად. კბილების კრაჭუნი ანუ ბრუქსიზმი სწორედ სტრესით და დაძაბულობით პროვოცირდება და არაა დაკავშირებული ჭიებთან.
me magalitat 21 var da wina 2 kbili mak gamoweuli da shesadzlebelia sinebis gaketeba?da tu aris shesadzlebeli mainteresebs miaxloebit ramdeni damijdeba gaketeba madloba
შესაძლებელია ფირფიტითაც და ბრეკეტიტაც მკურნალობა, მაგრამ ბრეკეტი ყოველთვის უფრო ეფექტურია. ფასების გასაგებად უნდა მიხვიდეთ ორთოდონტთან კონსულტაციაზე.
gamarjoba mainteresebs ra asakamde aris shesadzlebeli sinebis gaketeba
მოგესალმებით. ერთი შეკითხვა მაქვს. მეტალოკერამიკის კბილი დაშორდა ღრძილს. ხომ არ შეიძლება პლომბით შეივსოს. თუ აუცილებპად უნდა თავიდან ჩავისვა? მადლობთ
გამარჯობა. ასეთი რამ ხდება ხოლმე როცა უკვე გამოსაცვლელია გვირგვინი. შიგნით არსებული კბილის ქსოვილის მაქსიმალურად შესანარაჩუნებლად უმჯობესია გამოიცვალოთ უკვე.
ვერ გეტყვით ეეგ რამდენად ინფორმაციულია ამ შემთხვევაში. ჩემი აზრით უფრო სრუყოფილი გამოკვლევა გჭირდებათ ნევროპათოლოგის მიერ. სცადეთ და სხვასთანაც მიდით კონსულტაციაზე.
ეს ყველაფერი გასაგებია, მაგრამ ჩემს შემთხვევაში ცოტა რთულადაა საქმე , ჩატარებულმა ანალიზებმა გამორიცხა როგორც ჭიები, ასევე ნერვული დაძაბულობაც (ეეგ გავიკეთე და ამიხსნეს რომ ამ შემთხვევაში მხოლოდ ორთოპედი თუ დამეხმარებოდა.) .
ორთოპედმა მითხრა რომ თანკბილვის ბრალი კბილების ღრჭიალი ვერ იქნებაო და ყბა სახის ქირურგს მიმართეო. ესღა დამრჩა და ამანაც რომ არ გამოიღოს შედეგი მერე რა ვქნა აღარ ვიცი .
იქნებ მირჩიოთ რამე.
მეც ესე ვიცოდი, სულაც არ ვუკავშირებ კრაჭუნს ჰელმინთოზს, და ყარამან ფაღავამ მასწავლა ძილის პათოლოგიებს შორის(ლუნატიზმი, ენურეზის ნოქტურნა და სხვ.) განიხილება ბრუქსიზმიც 🙂
საინტერესო პოსტი იყო ფრიად
ო ღმერთო ჩემო რა საშინელი სურათებია 🙂
მეც და ჩემი მეუღლეც ვაკრაჭუნებთ ხანდახან ძილში კბილებს, ფრთხილი შემოლაწუნება შველის 😉 დედასგან ვიცი, რომ მამაჩემი აკრაჭუნებდა კბილებს. ეს აუხსნელი ფენომენი იყო ჩემი ოჯახისთვის. პირველად გერმანიაში აიხსნა ‘სასწაული’ ჩემთვისაც 🙂 ოჯახის წევრები იყენებდნენ ღამე დამცველ ‘მოწყობილობებს’ 🙂
სხვადასხვა ქვეყნბში, და ისე ჩვენთანაც, კბილების კრაჭუნი რაღაც ეშმაკეული და საშინელება გონიათ 🙂 ალბათ არსებობს საშინელი ფორმებიც, მაგრამ ბევრს სჭირს და არაფერი ტრაგედია არაა. ჯერ კიდევ ცოცხალი ვარ 🙂
და ეგეთი საშინელი კბილებიც არ გვაქვს 🙂 გაგებაში არ ვარ, მაგრამ მე რატომღაც ნერვებს ვუკავშირებ, ჩემი დაკვირვების მიხედვით, ჩემი მეუღლე მარტო მაშინ იწყებს კბილების კრაჭუნს ძილში, როცა რაიმე პრობლემას გავდივართ …