
ისეთი მტკიცე ქსოვილიც კი, როგორიც კბილის მინანაქარია დროთა განმავლობაში კარგავს იმ მინერალებს (დემინერალიზაცია), რომლებიც მის სიმტკიცეს განაპირობებენ. ეს უმთავრესად საკვებში შემავალი მჟავების გავლენით ხდება, და რომ არ არსებობდეს ერთგვარი ბალანსი პირის ღრუში, კბილებს ახალგაზრდა ასაკში დავკარგავდით.
დაკარგულ მინერალებს მინანქარი უმთავრესად ნერწყვიდან აღიდგენს. გარდა ამისა ნერწყვი ჩამორეხცხავს მისი ზედაპირიდან საკვების ნარჩენებს, რომლის დაშლის შედეგად ბაქტერიების მიერ ასევე მჟავები წარმოიქნება. მათი გავლენით კი ხდება მინანქრის ადგილობრივი დემინერალიზაცია და დროთა განმავლობაში ვითარდება კარიესი. ნერწყვის ბუნებრივი სუსტი ტუტე, თითქმის ნეიტრალური რეაქციის გამო კი მინანქრის ზედაპირზე მოქმედი მჟავების მოქმედების განეიტრალება ხდება.
ანუ კბილის მინანქრის რემინერალიზაციის ძირითადი მექანიზმი ნერწყვის შემადგენლობაზე და მისი გამოყოფის რეგულაციაზეა დამოკიდებული.
მაგრამ ზოგჯერ ისეც ხდება, რომ ნერწყვის შემადგენლობაში არაა საკმარისი რაოდენობით მინერალები (კალციუმი, ფორფორი), რომ მინანქარის ბუნებრივი გზით რემინერალიზაცია მოხდეს. მინანქარი სუსტდება და ასეთი პაციენტები მიდრეკილნი არიან მრავლობითი კარიესისკენ.
ზოგჯერ კი ნერწვი არასაკმარისი რაოდენობით გამოიყოფა (ქსეროსტომია) ან მისი კონსისტენცია ზედმეტად ბლანტია. ამის გამო ვერ ხდება საკვების ნარჩენების ბუნებრივი გზით ჩამორეცხვა და ჩნდება მრავლობითი რისკ-ზონები კარიესის განვითარების პერსპექტივით.
საბედნიეროდ, არსებობს პროდუქტი, რომელიც დღესდღეობით საუკეთესო
საშუალებაა მინანქრის რემინერალიზაციისა და “კვებისათვის”. ესაა კრემ-გელი Tooth Mousse ფირმა GC-სგან. მისი მთავარი კომპონენტია Recaldent™.
“რეკალდენტი” წარმოადგენს კომპლექსს СРР-АСР — კაზეინფოსფოპეპტიდი-ამორფული კალციუმფოსფატი. პირის ღრუში ეს კოპლექსი ადვილად უკავშირდება რბილ ნადებს, ბაქტერიებს, ჰიდროქსიაპატიტს და აწვდის ბიოშეთავსებად კალციუმსა და ფოსფორს იონების სახით. მას “თხევად მინანქარსაც” უწოდებენ.

ნერწყვი ააქტიურებს СРР-АСР კომპლექსს, მუსის საასიამოვნო გემო კი თავის მხრივ ნერწყვის გამოყოფის სტიმულაციას უწყობს ხელს. მუსი გამოდის რამოდენიმე არომატით.
რაც უფრო დიდხანსაა მუსი პირის ღრუში ნერწყვთან ერთად, მით უფრო ეფექტურია მისი მოქმედება.
შენიშვნა: Recaldent™ მიღებულია ძროხის რძეში შემავალი ცილა კაზეინისგან. ამიტომ მუსის გამოყენება შეზღუდულია რძის ცილაზე ალერგიული პაციენტებისთვის.
სრულყოფილი ინფორმაცია “რეკალდენტზე” — www.recaldent.com
GC Tooth Mousse-ის გამოყენება განსაკუთრებით ეფექტურია:
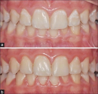
- მინანქარზე თეთრი ლაქების გასაქრობად, განსაკუთრებით ორთოდონტიული მკურნალობის შემდეგ.
- ხანდაზმულ პაციენტებში ნერწყვის გამოყოფის დარღვევით (მაგ. სხვადასხვა მედიკამენტების ხანგრძლივად მიღებისას).
- ჰიპერმგრძნობელობის შესამცირებლად ისეთი პროცედურების შემდეგ, როგორიცაა გათეთრება, პროფესიონალური წმენდა, კიურეტაჟი.
GC Tooth Mousse-ის გამოყენება შეიძლება როგორც ინდივიდუალური კაპებით, ისე პირდაპირი აპლიკაციის გზით.


იგივე ფუნქცია აქვს VOCO-ს წარმოებულ Remin-pro-საც და კიდევ მეტიც სამმაგი მოქმედება აქვს შეიცავს რა ფტორს, ჰიდროქსიაპატიტს და ქსილიტოლს. ასევე არ არის შეზღუდული იმ პაციენტებისათვის, რომელთაც აღენიშნებათ ალერგია რძის პროტეინებზე. მე თვითონ მაქვს და ახლა ვაკვირდები მის ეფექტს 🙂
ძალიან კარგი. გამიზიარეთ შთაბეჭდილება 🙂
ქალბატონო ეთერი სად შეიძინეთ Remin-pro ?
შეგიძლიათ დამაკვალიანოთ სად ვიყიდო და როგორ გამოვიყენო ?
ra girs da sad sheidzleba shedzena?
თავისუფალ გაყიდვაში არაა. სტომატოლოგს შეიძლება ჰქონდეს. თანაც პროცედურა ჯობია ექიმის მეთვალყურეობის ქვეშ ჩატარდეს.
დავიჯერო, მართლა ასეთი ეფექტი აქვს ამ მუსს, რომ ღრძილებს ასე არჩენს? სასწაული სხვაობაა ამ ორ ფოტოს შორის. ვცადო ერთი…
ღრძილებს? არა, ეს მუსი ღრძილებისთვის არაა გათვალისწინებული. არამედ მინანქრისთვის. როგორც მკვებავი ნიღაბი კანს, ისე აწვდის საჭირო მინერალებს. ლაქები კი ბაცდება.