ადამიანის კბილი ბევრად უფრო რთულადაა “მოწყობილი” ვიდრე ერთი შეხედვით ჩანს. თუ ქსოვილოვანი ინჟინერიის სპეციალისტები მიაღწევენ დაკარგული კბილები ჩაანაცვლონ ახლით, მაშინ მომავალში სხვა, უფრო რთული ორგანოების რეგენერაციაც შესაძლებელი იქნება.
ახალი, სრულფასოვანი კბილის შესაქმნელად მუშაობისას, მეცნიერები ახდენენ ემბრიონალურ დონეზე მიმდინარე პროცესების იმიტირებას. ალერნატიული მეთოდი ორია: ახალი კბილის შექმნა უკვე არსებული კბილის ქსოვილის უჯრედებიდან ან ღეროვანი უჯრედებიდან. ორივე მეთოდმა შედეგი უკვე აჩვენა. ამ ეტაპზე გადაუჭრელი ჩნდება ფესვების ფორმირების პრობლემა. თუმცა კვლევის პროცესი ამ სფეროში იმდენად სწრაფად მიმდინარეობს, შესაძლოა სინჯარაში მიღებული პირველი ადამიანური ორგანო სწორედ კბილი იყოს.
კბილი — დიზაინერული ხელოვნების ნამდვილი ნიმუშია, შექმნილი ბუნების მიერ. მისი ფორმირებისთვის ადამიანის ორგანიზმში მინიმუმ 14 თვეა საჭირო. კბილის ჩანასახის შექმნაში 2 სახის ქსოვილი მონაწილეობს. მათ შორის მუდმივად მიმდინარეობს “დიალოგი”. მეცნიერებისთვის მნიშვნელოვანია სწორედ ინფორმაციის ამ ნაკადის შესწავლა ფუნქციონალური ხელოვნური კბილის შესაქმნელად.
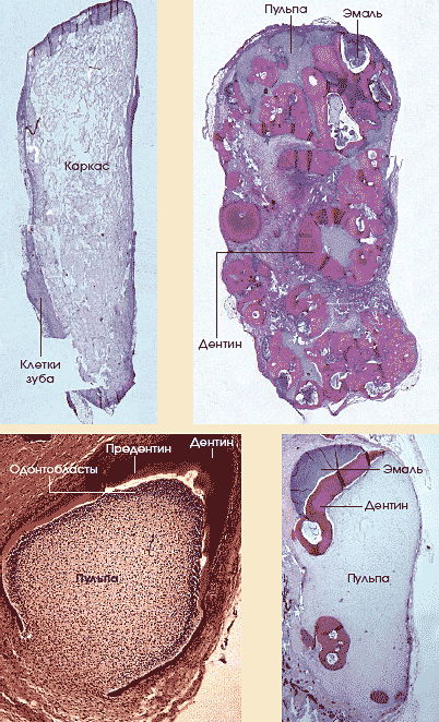
მცირე ექსკურსი: კბილის პირველი ნიშნები ჩასახვიდან 6-7 კვირის შემდეგ ჩნდება, როცა მომავალი კბილის ადგილას ჩნდება ეპითელური ქსოვილის უმნიშვნელო გასქელება. უგზავნიან რა სიგნალს ქვეშმდებარე მეზენქიმურ ქსოვილს, ეპითელური უჯრედები ჩაიზრდებიან მასში. სიგნალზე საპასუხოდ მეზენქიმური უჯრედები თავს იყრიან მათ ირგვლივ და ყალიბდება კბილის ჩანასახი. განვითარების მე-9 კვირაზე ეპითელური უჯრედებისგან წარმოიქმნება ამობრუნებული ფიალის მსგავსი სტრუქტურა, რომელსაც ავსებს მეზენქიმა. ფიალის ცენტრში ფორმირდება კვანძი, რომელიც ამიერიდან “საკამანდე პუნქტის” ფუნქციას ასრულებს და უგზავნის სიგნალებს ეპითელიუმს და მეზენქიმას. 14-ე კვირაზე წამოიქმნება ზარის ფორმის სტრუქტურა, რომელიც შედგება დიფერენცირებული უჯრედებისგან — ამელობლასტებისგან, რომელიდანაც მომავალში მინანქარი ვითარდება და ოდონტობლასტებისგან, რომლიდანაც მომავალში დენტინი ვითარდება. სულ ბოლოს ვითარდება ფესვები, რომელთა ფორმირება სრულდება კბილის ამოჭრის შემდეგ.


