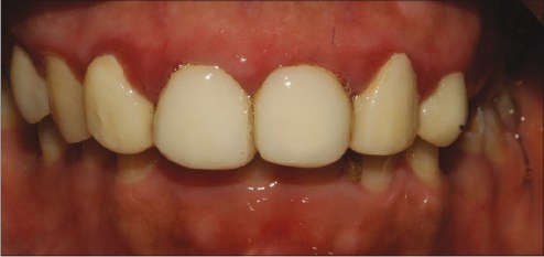
თუკი თქვენი არაჩვეულებრივი ხელოვნური გვირგვინების ვიზუალურ ეფექტს აფუჭებს მუდმივად შეშუპებული, სისხლმდენი,
არაბუნებრივი შეფერილობის (წითელი ან მოლურჯო) ღრძილები, პრობლემის მოგვარება სავლებებით და მალამოებით უშედეგო ან დროებით ეფექტური იქნება. ამ დროს თითქმის ყოველთვის სახეზეა პაროდონტის დაავადება. ვითარდება ჯერ გინგივიტი, შემდეგ კი — პაროდნტიტი, თუკი არ მოხდა მიზეზის აღმოფხვრა. მიზეზს კი წარმოადგენს არასწორად დამზადებული და მორგებული ხელოვნური კონსტრუქციები (გვირგვინი, ხიდი, ვინირი, ბჟენი).
ნებისმიერი ხელოვნური კონსტრუქციის დანიშნულებაა არამარტო ესთეტიკისა და ღეჭვითი ფუნქციის აღდგენა, არამედ ჯანმრთელი გარემოს შენარჩუნება ირგვლივ ქსოვილებში, რაც ამ კონსრტუქციების ხანგრძლივ დადებით პროგნოზს უზრუნველყოფს, ასევე საყრდენი და მეზობელი კბილის შენარჩუნებაში გვეხმარება.
“ჯანმრთელი გარემო” პირველ რიგში გულისხმობს ჯანმრთელ მიკროფლორას, რაც ჰიგიენის კარგი კონტროლით მიიღწევა. კვლევების თანახმად ნადების კონტროლი პრობლემატურია, თუ ხელოვნური კონსტრუქციის კიდე მოთავსებულია ძალიან ახლოს კბილბუდის ძვლის კიდესთან, ანუ ზედმეტად ღრმად. არსებობს გარკვეული მანძილი (მას “ბიოლოგიური სივრცე” ეწოდება), რომელიც აუცილებლად უნდა იყოს შენარჩუნებული ძვალსა და ხელ. კონსტრუქციის კიდეს შორის და იგი სულ მცირე 3 მმ უნდა იყოს.

რა ხდება “ბიოლოგიური სივრცის” დარღვევისას? პაციენტი პირველივე დღეებიდან გრძნობს დისკომფორტს, უსიამოვნო შეგრძნებას, ღრძილების შეშუპებას, სიწითლეს და ზოგჯერ სისხლდენას. დროთა განმავლობაში სიმპტომები არ ქრება, ღრძილები კი ციანოზურ (მოლურჯო) შეფერილობას იღებს და თანდათან “უკან იხევს”, შიშვლდება კბილის ყელი ანუ ვითარდება რეცესია.
არასწორად მოთავსებული ხელ. კონსტრუქციის შემთხვევაში გამოსავალს წარმოადგენს ბიოლოგიური სივრცის შექმნა ქირურგიული გზით ანუ გვრიგვინის დაგრძელება — ძვლის კიდის მოშორება სივრცის გასაზრდელად). გვირგვინის დაგრძელებაზე მეტი ინფორმაცია შეგიძლიათ მოიძიოთ აქ — www.parodontolo.ge


gamarjoat, kbenis shedegad kbaze shida mxridan gamomivida ragac burtulasavit, hsemdeg vivle da nelnela dacxra, tumca bolomde jer midev araa moshushebuli ras mir
chevt?
რაგდან უკეთესობა შეიმჩნევა გააგრძელეთ სავლები (გვირილის) და მოერიდეთ განმეორებით ტრავმას. ასევე ცხელ და ცხარე საკვებს.