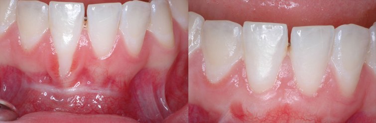
ღრძილის რეცესიის შემთხვევაში თქვენი პაროდონტოლოგი დიდი ალბათობით ღრძილოვან გრაფტს შემოგთავაზებთ. რას წარმოადგენს იგი და რისთვის უნდა იყოთ მზად?
ღრძილის რეცესია, რომელიც ვიზუალურად კბილის ყელის გაშიშვლებით და კბილის გვირგვინის დაგრძელებით გამოიხატება, პაროდონტის დაავადებითაა გამოწვეული. გაშიშვლებული კბილის ყელი, რომელიც სინამდვილეში ფესვის ზედა ნაწილს წარმოადგენს, ხშირ შემთხვევაში ძალიან მგრძნობიარეა და კარიესით ზიანდება, რადგან ფესვის ზედაპირი გაცილებით რბილია, ვიდრე მინანქარი და იგი ძვლითა და ღრძილით უნდა იყოს დაფარული. სწორედ მის დასაფარად და ანატომიური მდგომარეობის აღდგენის მიზნით ტარდება ქირურგიული პროცედურა ღრძილოვანი გრაფტის გამოყენებით.
გრაფტი იგივეა, რაც ტრანსპლანტატი. ღრძილოვანი გრაფტი ღრძილის ქსოვილია, რომელსაც აიღებენ ერთ უბანში (უფრო ხშირად სასაზე) და გადანერგავენ გაშიშვლებული ფესვის ზონაში, სადაც იგი ნაკერებით ფიქსირდება ღრძილოვანი ნაფლეთის ქვეშ. ეს პროცედურა ადგილობრივი ანესთეზიის ქვეშ კეთდება, საკმაოდ ხანმოკლეა, თუმცა ექიმის მხრიდან გამოცდილებას მოითხოვს.
ოპერაციის შემდეგ კლინიკა შეგიძლიათ მაშინვე დატოვოთ, თუმცა ზოგ შემთხვევაში 1-2 საათის განმავლობაში ტოვებენ პაციენტს ჭრილობაზე დაკვირვების მიზმით.
ოპერაციიდან 1-2 კვირის განმავლობაში რეკომენდებულია თხევადი კონსისტენციის ცივი/გრილი საკვების მიღება. ცხელმა და მაგარმა საკვებმა შესაძლოა ნაკერის და გრაფტის დაზიანება გამოიწვიოს.
ექიმი დაგინიშნავთ ანტიბაქტერიულ სავლებს, რომელიც ხელს შეუშლის ნადების წარმოქმნას. ოპერაციის ზონაში კბილების გახეხვა და ფლოსის გამოყენება არ შეიძლება, სანამ ექიმი ამის ნებას არ დაგრთავთ. იგივე ეხება ვარჯიშსა და ფიზიკურ დატვირთვას.


