კვლავ ვეხმაურებით დასმულ შეკითხვას და ამ პოსტში ვისაუბრებთ ფისურების ჰერმეტიზაციაზე (ჩაბეჭდვაზე), როგორც რეკომენდებულ პრევენციულ მეთოდზე კარიესის წინააღმდეგ.
ფისურები — ეს ბუნებრივი ღარებია საღეჭი კბილების ზედაპირზე. გარდა იმისა, რაც ვიზუალურად ჩანს, ძალიან ხშირად ფისურები ვერტიკალური ნაპრალის სახით საკმაოდ ღრმად ვრცელდება კბილის ქსოვილში. ბუნებრივია, ასეთი მიკროსკოპული სივრცის გასუფთავება ჯაგრისის საშუალებით შეუძლებელია. სწორედ ამიტომაც ფისურების კარიესი პროცენტულად ყველაზე ხშირია.
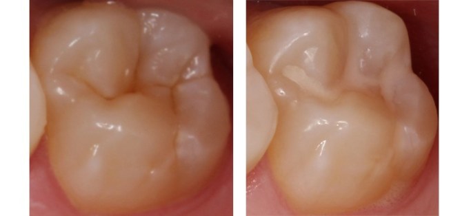
ფისურების ჰერმეტიზაცია ანუ ჩაბეჭდვა, როგორც მას ზოგჯერ უწოდებენ, კარიესის საპროფილაქტიკო პროცედურაა, რომელიც მუდმივი კბილი ამოჭრის დასრულებისთანავეა რეკომედებული. ამისათვის გამოიყენება სილანტები, თხელი კონსისტენციის კომპოზიტური მასა, რომელიც ადვილად ჩაიჟონება და ავსებს ფისურებს მთელ სიღრმეზე, რაც ხელს უშლის კარიესის გამომწვევი ბაქტერიების დაგროვებას.
არსებობს სხვადასხვა მოსაზრება ამ პროცედურის ეფექტურობასთან დაკავშირებით. ზოგი თვლის, რომ სილანტების გამოყენება პირიქით, ხელს უწყობს კარიესს, რაც გარკვეულწილად სიმართლეს შეესაბამება. იმ შემთხვევაში, თუ სინალტების გამოყენება მოხდა უკვე არსებული კარიესის შემთხვევაში თუნდაც სადღაც ფისური ფსკერზე, მაშინ ჰერმეტიზაცია სასათბურე პირობებს ქმნის მისი პროგრესირებისათვის. ამიტომ წლების შემდეგ სილანტის ქვეშ არცთუ იშვიათად აღმოჩნდება ხოლმე ღრმა კარიესი და შეიძლება არხების მკურნალობაც კი გახდეს საჭირო. გამომდინარე აქედან, სილანატის გამოყენება უნდა მოხდეს რაც შეიძლება ადრე და ზედმიწევნით კარგი დიაგნოსტიკის შემდეგ.

მეორე გარემოება, რამაც ჰერმეტიზაციის შედეგად გართულება შეიძლება გამოიწვიოს, არის მისი დაზიანება. სილანტი ბჟენისაგან განსხვავებით მაღალი სიმტკიცით არ გამოირჩევა და შესაძლებელია დაზიანდეს. მოტეხილი ნაწილის ადგილას უკვე კარგი პირობები იქმნება ნადების და შესაბამისად ბაქტერიების დაგროვებისათვის, რასაც კარიესის გაჩენა მოჰყვება. ამიტომ, აუცილებელია სტომატოლოგთან გეგმიური ვიზიტების დროს მოხდებს ფისურების შემოწმება და სილანტების დროული კორექცია საჭიროების შემთხვევაში.
