ერთერთ წინა პოსტში ვწერდით ანესთეზიის შედეგად გამოწვეულ პარესთეზიაზე ანუ მგრძნობელობის მოშლაზე და იქვე დაგპირდით, რომ სხვა გამომწვევ მიზეზზე ცალკე პოსტს დავუთმობდით. ამჯერად არხის მკურნალობის შემდეგ განვითარებულ პარესთეზიაზე ვისაუბრებთ.
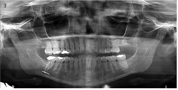
ენდოდონტიის ანუ არხების მკურნალობის დროს ერთერთი ყველაზე ხშირი გართულებაა საბჟენი მასალის გადასვლა ფესვის ირგვლივ ქსოვილებში. ეს შეიძლება გამოწვეული იყოს არხის დამუშავების ან მისი ჰერმეტიზაციის (საბჟენი მასალით შევსება) პროტოკოლის დარღვევით. რამდენადაც თანამედროვე პრაქტიკაში თითქმის ყოველთვის გუტაპერჩა გამოიყენება და ის კი ინერტული მასალაა,
ასეთი შემთხვევა უმეტესად პრობლემებს არ იწვევს, თუ სხვა მხრივ პროცედურა სწორადაა ჩატარებული და ინფექციის წყარო ლიკვიდირებულია. სხვა მასალის მოხვედრის შემთხვევაში გართულების ალბათობა დამოკიდებულია თავად მასალის თვისებებზე.
ქვედა ყბაზე კბილები ისეა განლაგებული, რომ ფესვის მწვერვალების ქვეშ მცირე მანძილის დაშორებით ქვედა ყბის არხი გადის, რომელშიც ქვედა ყბის ნერვი მდებარეობს. ამიტომ ქვედა ყბის კბილების არხების მკურნალობისას შესაძლოა გადატანილი საბჟენი მასალა სწორედ ამ არხში მოხვდეს და ნერვზე კომპრესია მოახდინოს, რაც იწვევს ნერვის გამტარებლობის დარღვევას და მგრძნობელობის მოშლას, დროთა განმავლობაში კი ნერვის ატროფიას. ასეთ შემთხვევაში ექიმის მხრიდან დაუყოვნებელი მოქმედებაა საჭირო, კერძოდ კი მიკროქირურგიის გზით ნერვის გათავისუფლება უცხო მასისგან სანამ ნერვის დაზიანება შეუქცევადი გახდება. 3დ რენტგენოლოგიური გამოკვლევით დგინდება მასის ზუსტი ლოკალიზაცია და პაციენტი გადამისამართდება ყბა-სახის ქირურგთან. მიკროქირურგიის ჩატარება 48 საათის შემდეგ ამცირებს წარმატების შანსს, რის გამოც პაციენტს მუდმივად ექნება წვის და დაბუჟების შეგრძნება ღრძილების, ტუჩისა და ნიკაპის არეში.
თუ არხების მკურნალობის პროცედურის დამთავრებიდან 6-8 საათის შემდეგ კვლავ გრძნობთ დაბუჟებას ან მგრძნობელობის შეცვლას, დაუყოვნებლივ შეატყობინეთ თქვენი მდგომარეობის შესახებ მკურნალ ექიმს ან ენდოდონტისტს, რომელიც დროულად მიიღებს საჭირო ზომებს.
